Skip to content
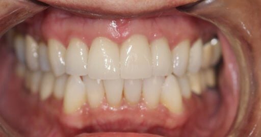
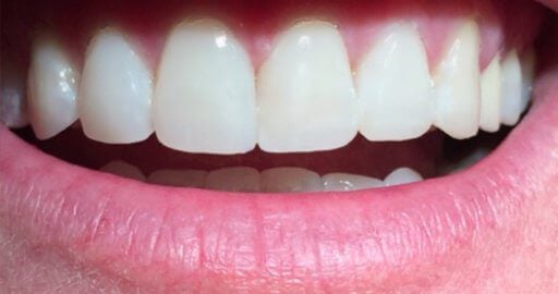
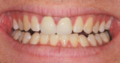
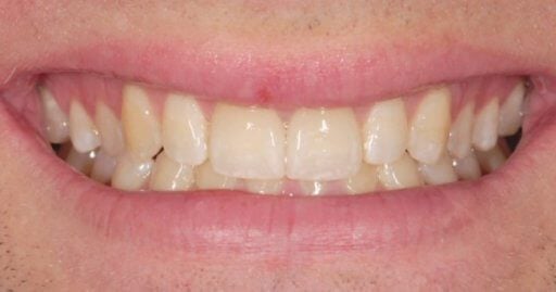
Before And After
Call Today!
Chaska
(952) 448-3077
Excelsior
(952) 474-6133
Before And After
Dental FAQs
Financial Information
Your First Visit
Hamburger Toggle Menu
Google
Chaska
Google
Excelsior
Call today for an appointment
Home
About
Meet the Doctors
Meet Dr. Johnson
Meet Dr. Harvieux
Meet Dr. Bevis
Office Tour
Areas We Serve
Blog
Reviews
Chaska
Excelsior
New Patients
Before And After
Dental FAQs
Financial Information
Your First Visit
Dental Services
Cosmetic Dentistry
Botox®
Dental Bonding
Smile Makeovers
Teeth Whitening Trays
Veneers
Wrinkles
Endodontic Treatment
Cracked Teeth
Internal Bleaching
Post & Core
Root Canal Therapy
Traumatic Injuries
General Dentistry
Dental Bridge
Dental Cleanings
Dental Crowns
Dental Crowns With CEREC
Dental Sealants
Digital Impressions
Enamel Shaping
Fillings
Fluoride Treatments
Mercury Safe and Mercury Free
Occlusal Disease Treatment
OraVerse
Snoring
Tooth-Colored Fillings
Oral Surgery
Tooth Extractions
Orthodontic Treatment
Clear Aligners
Invisalign®
Invisalign® FAQ
Pediatric Dentistry
Nitrous Oxide for Children
Pit And Fissure Sealants
Periodontal Care
Arestin
Gingivectomy
Guided Tissue Regeneration
Periodontal Cleaning
Scaling and Root Planing
Preventative Dentistry
Custom Mouthguards
Occlusal Night Guards
Oral Cancer Screenings
Silver Diamine Fluoride
Waterpik
Prosthodontics
Dental Implants
Flippers and Removable Partial Dentures
Full and Partial Dentures
Hybrid Prosthesis
Implant Restoration
Implant-Retained Dentures
Implant-Retained Partials
Technology
Cone Beam 3D Imaging
Digital X-Rays
Intraoral Camera Technology
iTero Scanner
Laser Therapy
Ultrasonics
Patient Login
Chaska
Excelsior
Contact
Hamburger Toggle Menu